Apa Itu Tuberkulosis?
Tuberkulosis atau dikenal dengan nama lain TBC / TB merupakan penyakit paru-paru akibat kuman Mycobacterium Tuberculosis. TBC akan menimbulkan gejala berupa batuk yang berlangsung lama ( lebih dari 3 minggu ), biasanya berdahak dan terkadang mengeluarkan darah. Penderita TBC ini juga akan merasakan demam, lemas, berat badan turun, nyeri dada, tidak nafsu makan dan berkeringat di malam hari.
Penyakit ini ditularkan dari percikan ludah yang keluar penderita TBC, ketika berbicara, batuk, atau bersin. Penyakit ini lebih rentan terkena pada seseorang yang kekebalan tubuhnya rendah, misalnya penderita HIV.
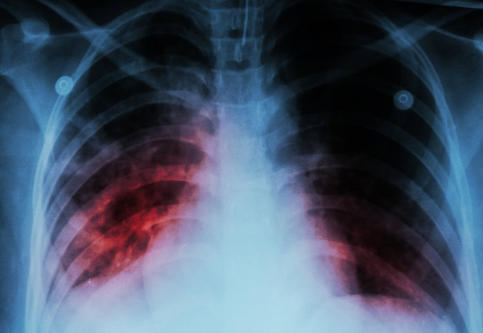
TBC dapat dideteksi melalui pemeriksaan dahak. Beberapa tes lain yang dapat dilakukan untuk mendeteksi penyakit menular ini adalah foto Rontgen dada, tes darah, atau tes kulit (Mantoux). Penyakit ini dapat disembuhkan jika penderitanya patuh minum obat. Untuk mengatasi TBC, penderita perlu minum beberapa jenis obat untuk waktu yang cukup lama (minimal 6 bulan).
Selain menyerang paru-paru, kuman TBC juga bisa menyerang tulang, usus, atau kelenjar.
Gejala Tuberkulosis TBC (Tuberkulosis)
Gejala-gejala TBC (tuberkulosis) yang muncul dapat berupa:
- Batuk yang berlangsung lama (3 minggu atau lebih), biasanya berdahak.
- Batuk mengeluarkan darah.
- Berkeringat pada malam hari.
- Penurunan berat badan.
- Demam dan menggigil.
- Lemas.
- Nyeri dada saat bernapas atau batuk.
- Tidak nafsu makan.
- Lemas.
Selain menyerang paru-paru, kuman TBC juga dapat menyerang organ lainnya, seperti ginjal, usus, otak, atau TBC kelenjar. Penyakit TBC pada organ selain paru-paru sering terjadi pada orang dengan kekebalan tubuh rendah, misalnya penderita AIDS.
Berikut ini adalah contoh gejala yang muncul akibat penyakit TBC di luar paru-paru, menurut organ yang terkena:
- Pembengkakan kelenjar getah bening bila terkena TBC kelenjar.
- Kencing berdarah pada TBC ginjal.
- Nyeri punggung pada TBC tulang belakang.
- Sakit perut jika mengalami TBC usus.
- Sakit kepala dan kejang bila terkena TBC di otak.
Ilmuwan Turki: Sebelum Banjir, Nabi Nuh Hubungi Anaknya Memakai Ponsel
Ada Yang Mau Jadi Pengusir 'Alien' Bergaji Rp2,4 Miliar?
Bos Yakuza Jepang Tertangkap Di Thailand Berkat Foto Tatonya Viral
Penyebab Tuberkulosis TBC (Tuberkulosis)
TBC (tuberkulosis) disebabkan oleh infeksi kuman dengan nama yang sama, yaitu Mycobacterium tuberculosis. Kuman atau bakteri ini menyebar di udara melalui percikan ludah penderita, misalnya saat berbicara, batuk, atau bersin. Meski demikian, penularan TBC membutuhkan kontak yang cukup dekat dan cukup lama dengan penderita, tidak semudah penyebaran flu.
Makin lama seseorang berinteraksi dengan penderita TBC, semakin tinggi risiko untuk tertular. Misalnya, anggota keluarga yang tinggal serumah dengan penderita TBC.
Pada penderita TBC yang tidak menimbulkan gejala (TBC laten), kuman TBC tetap tinggal di dalam tubuhnya. Kuman TBC dapat berkembang menjadi aktif jika daya tahan tubuh orang tersebut melemah, seperti pada penderita AIDS. Namun, TBC laten ini tidak menular.
Seperti telah dikatakan sebelumnya, penularan TBC tidak semudah flu, sehingga Anda tidak akan tertular TBC jika hanya sekadar berjabat tangan dengan penderita TBC. Namun, ada beberapa kelompok orang yang lebih mudah tertular penyakit ini, yaitu:
- Orang yang tinggal di pemukiman padat dan kumuh.
- Petugas medis yang sering berhubungan dengan penderita TBC.
- Lansia dan anak-anak.
- Pengguna NAPZA.
- Orang yang kecanduan alkohol.
- Perokok.
- Penderita penyakit ginjal stadium lanjut.
- Orang dengan kekebalan tubuh yang lemah, misalnya penderita AIDS, diabetes, kanker, serta orang yang kekurangan gizi.
- Lupus
- Psoriasis
- Rheumatoid arthritis
- Penyakit Crohn
Diagnosis Tuberkulosis TBC (Tuberkulosis)
Untuk mendeteksi TBC (tuberkulosis), pertama-tama dokter akan menanyakan keluhan dan penyakit yang pernah diderita. Kemudian dokter akan melakukan pemeriksaan fisik, terutama dengan mendengarkan suara napas di paru-paru menggunakan stetoskop. Dokter juga akan memeriksa ada tidaknya pembesaran kelenjar, bila dicurigai adanya TBC kelenjar.
Jika pasien diduga mengalami TBC, dokter akan meminta pasien melakukan pemeriksaan dahak yang disebut pemeriksaan BTA. Pemeriksaan BTA juga dapat dilakukan menggunakan sampel selain dahak, untuk kasus TBC yang terjadi bukan di paru-paru.
Jika dokter membutuhkan hasil yang lebih spesifik, dokter akan menganjurkan pemeriksaan kultur BTA, yang juga menggunakan sampel dahak penderita. Tes kultur BTA dapat mengetahui efektif atau tidaknya obat TBC yang akan digunakan dalam membunuh kuman. Namun, tes ini memakan waktu yang lebih lama.
Selain pemeriksaan BTA, dokter dapat melakukan serangkaian pemeriksaan lain sebagai pendukung diagnosis, meliputi:
- Foto Rontgen
- CT scan
- Tes kulit Mantoux atau Tuberculin skin test
- Tes Darah IGRA (interferon gamma release assay).
Pengobatan Tuberkulosis TBC (Tuberkulosis)
Penyakit ini dapat disembuhkan dan jarang berakibat fatal jika penderita mengikuti saran dari dokter. Prinsip utama pengobatan TBC (tuberkulosis) adalah patuh untuk minum obat selama jangka waktu yang dianjurkan oleh dokter (minimal 6 bulan).
Apabila berhenti meminum obat sebelum waktu yang dianjurkan, penyakit TBC yang Anda derita berpotensi menjadi kebal terhadap obat-obat yang biasa diberikan. Jika hal ini terjadi, TBC menjadi lebih berbahaya dan sulit diobati.
Obat yang diminum merupakan kombinasi dari isoniazid, rifampicin, pyrazinamide dan ethambutol. Sama seperti semua obat, obat TBC juga memiliki efek samping, antara lain:
- Warna urine menjadi kemerahan
- Menurunnya efektivitas pil KB, KB suntik, atau susuk
- Gangguan penglihatan
- Gangguan saraf
- Gangguan fungsi hati
Untuk penderita yang sudah kebal dengan kombinasi obat tersebut, akan menjalani pengobatan dengan kombinasi obat yang lebih banyak dan lebih lama. Lama pengobatan dapat mencapai 18-24 bulan.
Selama pengobatan, penderita TBC harus rutin menjalani pemeriksaan dahak untuk memantau keberhasilannya.
Pencegahan Tuberkulosis TBC (Tuberkulosis)
Salah satu langkah untuk mencegah TBC (tuberkulosis) adalah dengan menerima vaksin BCG (Bacillus Calmette-Guerin). Di Indonesia, vaksin ini termasuk dalam daftar imunisasi wajib dan diberikan sebelum bayi berusia 2 bulan. Bagi yang belum pernah menerima vaksin BCG, dianjurkan untuk melakukan vaksin bila terdapat salah satu anggota keluarga yang menderita TBC.
TBC juga dapat dicegah dengan cara yang sederhana, yaitu mengenakan masker saat berada di tempat ramai dan jika berinteraksi dengan penderita TBC, serta sering mencuci tangan.
Walaupun sudah menerima pengobatan, pada bulan-bulan awal pengobatan (biasanya 2 bulan), penderita TBC juga masih dapat menularkan penyakit. Jika Anda menderita TBC, langkah-langkah di bawah ini sangat berguna untuk mencegah penularan, terutama pada orang yang tinggal serumah dengan Anda:
- Tutupi mulut saat bersin, batuk, dan tertawa, atau kenakan Apabila menggunakan tisu untuk menutup mulut, buanglah segera setelah digunakan.
- Tidak membuang dahak atau meludah sembarangan.
- Pastikan rumah memiliki sirkulasi udara yang baik, misalnya dengan sering membuka pintu dan jendela agar udara segar serta sinar matahari dapat masuk.
- Jangan tidur sekamar dengan orang lain, sampai dokter menyatakan TBC yang Anda derita tidak lagi menular.

Belum ada Komentar untuk "Apa Itu Tuberkulosis?"
Posting Komentar